Mesotelioma pleural maligno en ocho pacientes y scielo. Mesotelioma pleural maligno en ocho pacientes y revisión del tema. Malignant pleural mesothelioma in eight patients and review of topic. Karina armas moredo, i miguel emilio garcía rodríguez, ii sahily acosta prieto, iii bárbaro agustín armas pérez. Iv. I hospital clinicoquirúrgico "amalia simoni" camagüey. Cuba. Diagnóstico y tratamiento de los tumores del scielo. Revista cubana de medicina militar 2014;43(3)352369 scielo.Sld.Cu 352 artÍculo de revisiÓn diagnóstico y tratamiento de los tumores del epidídimo. Hipoglucemia facticia inducida por insulina en un scielo. La tabla 2 muestra niveles de peptinemia c, insulinemia, hba1 y dosis de insulina. Estos eventos de hipoglucemia fueron generando una disminución progresiva de los requerimientos de insulina, además de numerosos ingresos hospitalarios con larga estadía. Mesotelioma peritoneal maligno scielo. The expected burden of mesothelioma mortality in great britain from 2002 to 2050. Br j cancer 2005; 92 58793. [ Links ] 14. Nishikawa k, takahashi k, karjalainen a, wen cp, furuya s, hoshuyama t, todoroki m, et al. Recent mortality from pleural mesothelioma, historical patterns of asbestos use, and adoption of bans a global assessment. Curso de diagnóstico por imagem do tórax scielo. Aprimoramento. Curso de diagnóstico por imagem do tóraxcapítulo ii imagenologia da pleura arthur soares de souza junior. Prof. Assistente da faculdade de medicina de são josé do rio preto (fmsjrp); membro do instituto de radiodiagnóstico rio preto; chefe do departamento de imagem da santa casa de misericórdia de são josé do rio preto. Enfermedades respiratorias por scielo españa. Resumen. En este trabajo se pretende aclarar qué es y qué no es enfermedad profesional, en patologías relacionadas con la exposición laboral al amianto, en españa, qué pruebas diagnósticas y de valoración funcional se precisan, qué comprobaciones de exposición han de realizarse y las consecuencias de su adscripción con carácter de enfermedad profesional. Asbestos in colombia a silent enemy scielo. Latent period for both asbestosis and pleural mesothelioma is between 20 and 40 years, an outbreak of pleural mesothelioma can be expected in mexico in the next 50 years. The only effective way to prevent asbestosis and malignant pleural mesothelioma is banning asbestosrelated industries.
Diagnóstico y tratamiento de los tumores del scielo. Revista cubana de medicina militar 2014;43(3)352369 scielo.Sld.Cu 352 artÍculo de revisiÓn diagnóstico y tratamiento de los tumores del epidídimo. Invasive mesothelioma of canine cytology, clinical scielo. Resumen este reporte describe los hallazgos macro y microscópicos de un mesotelioma invasivo epitelial y mesotelioma bifásico (mixto) maligno en un canino macho de 8 años de edad, raza pit bull, que llegó a la clínica veterinaria de la escuela de medicina veterinaria y zootecnia de la facultad de ciencias agropecuarias y recursos naturales de la universidad de los llanos, cuyo motivo de. Mesotelioma peritoneal maligno scielo. Incidencia del mesotelioma peritoneal maligno en naciones industrializadas es 0.53 casos por millón de habitantes en hombres y 0.22 casos por millón en mujeres.1 la asociación de la exposición de asbesto con el mesotelioma peritoneal es menor a la que existe con el mesotelioma pleural. The incidence of mesothelioma has not decreased for the last twenty years in southeast region of anatolia. Afr heal. Sci. 2011 sep;11(3)34652. [ Links ] 37. Delgermaa v, takahashi k, park ek, le gv, hara t, sorahan t. Global mesothelioma deaths reported to the world health organization between 1994 and 2008. Bull world heal. Enfermedades respiratorias por scielo españa. Resumen. En este trabajo se pretende aclarar qué es y qué no es enfermedad profesional, en patologías relacionadas con la exposición laboral al amianto, en españa, qué pruebas diagnósticas y de valoración funcional se precisan, qué comprobaciones de exposición han de realizarse y las consecuencias de su adscripción con carácter de enfermedad profesional.
Asbesto Cancer De Estomago
Mesotelioma pleural difuso maligno con scielo.Isciii.Es. Mesotelioma pleural difuso maligno con presentación radiológica inusual. Sr. Director el mesotelioma maligno difuso (mmd) es un tumor infrecuente relacionado con la exposición previa al asbesto. Aunque se origina principalmente en pleura puede surgir en otras serosas como peritoneo y pericardio (1). Mesotelioma pleural maligno síntomas, diagnóstico y. [Scielonicyt.Cl] factores pronÓsticos en general, el pronóstico de los pacientes con mesotelioma no es bueno, con una media de supervivencia tras el diagnóstico de 8 a 12 meses 23,24 , y depende en mayor medida de los "factores pretratamiento" que del efecto de las intervenciones[scielo.Isciii.Es]. Mesotelioma peritoneal quístico benigno reporte de caso. Los mesoteliomas peritoneales se clasifican en tres subtipos mesotelioma peritoneal maligno, mesotelioma quístico y mesotelioma papilar bien diferenciado (1). El mesotelioma peritoneal quístico benigno (mpqb) o quistes de inclusión peritoneal consiste en una tumoración benigna rara de origen desconocido que se origina en las células. Hipoglucemia facticia inducida por insulina en un scielo. La tabla 2 muestra niveles de peptinemia c, insulinemia, hba1 y dosis de insulina. Estos eventos de hipoglucemia fueron generando una disminución progresiva de los requerimientos de insulina, además de numerosos ingresos hospitalarios con larga estadía. A propósito de mesotelioma pleural scielo.Sa.Cr. El mesotelioma peritoneal maligno es una rara neoplasia que se origina en las células mesoteliales del peritoneo. El mesotelioma peritoneal afecta principalmente a varones con una edad media de 6569 años.1. En aproximadamente un 50% de pacientes con mesotelioma peritoneal hay un antecedente de exposición a asbesto. Asbestosis y mesotelioma pleural maligno scielo. Search only for mesotelioma scielo. Artículos de revisión scielo.Mx. El mesotelioma es un tumor derivado de las células mesoteliales. Aunque puede asentar en peritoneo, túnica vaginal y pericardio, el 80% de los casos tienen su origen en la pleura. La incidencia del mesotelioma pleural (mp) está aumentando en la mayoría de los países de europa y en los ee.Uu. (Actualmente, 2.200 casos por. Estadísticas de mortalidad más ejemplos sobre selección. Salud pública y algo más continuamos con unos ejemplos de historias clínicas.. En estos ejemplos explicamos como situar en un boletín estadístico de defunción la información contenida en una historia clínica para que, después de aplicar las reglas de selección de causa básica de defunción, salga seleccionada la enfermedad que ha sido la desencadenante de todo el proceso que ha.
Coches Importacion Usa España
Mesotelioma síntomas, diagnóstico y tratamiento symptoma.Es. Mesotelioma leer más sobre etiologÍa y patogenia la exposición al asbesto es el principal factor de riesgo para el desarrollo del mesotelioma.[Scielo.Isciii.
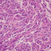
Paniculite mesentérica aspectos na tomografia scielo. A paniculite mesentérica é um processo inflamatório que constitui o segundo estádio de uma doença rara e progressiva que envolve o tecido adiposo do mesentério. Entre os métodos radiológicos utilizados no diagnóstico estão os estudos baritados, a ultrasonografia, a tomografia. Mesotelioma pleural maligno scielo españa. El estudio histológico de las lesiones permite diferenciar el mesotelioma de una paquipleuritis de otra etiología, de un sarcoma o del adenocarcinoma pulmonar con el cual se confundía anteriormente. El mesotelioma forma estructuras papilares que hacen difícil distinguirlo de un adenocarcinoma en una tinción con hematoxilinaeosina. Curso de diagnóstico por imagem do tórax scielo. Aprimoramento. Curso de diagnóstico por imagem do tóraxcapítulo ii imagenologia da pleura arthur soares de souza junior. Prof. Assistente da faculdade de medicina de são josé do rio preto (fmsjrp); membro do instituto de radiodiagnóstico rio preto; chefe do departamento de imagem da santa casa de misericórdia de são josé do rio preto.
The incidence of mesothelioma has not decreased for the last twenty years in southeast region of anatolia. Afr heal. Sci. 2011 sep;11(3)34652. [ Links ] 37. Delgermaa v, takahashi k, park ek, le gv, hara t, sorahan t. Global mesothelioma deaths reported to the world health organization between 1994 and 2008. Bull world heal.
Mesotelioma pleural maligno scielo españa. Resumen. El mesotelioma maligno es una neoplasia pleural relacionada con la exposición laboral a amianto, aunque otros factores pudieran estar implicados, con una incidencia en aumento en europa occidental. Primary malignant peritoneal mesothelioma scielo.Mec.Pt. Palavraschavemesotelioma peritoneal maligno, amianto, hepatopatia paraneoplásica, carcinoma de células renais, cirurgia citoredutora, quimioterapia hipertérmica intraperitoneal intraoperatória. Abstract i malignant peritoneal mesothelioma mesothelioma is associated with a long a exposure to asbestos and usually has a poor prognosis. Mesotelioma maligno experiencia clínico scielo. Introdução. O mesotelioma pleural maligno (mpm), apesar de raro, é a principal neoplasia maligna primária da pleura, a qual ganha progressivamente destaque e importância devido à incidência crescente observada nas últimas décadas. Mesotelioma maligno testicular scielo.Bo. Resumen. El mesotelioma maligno es un tumor adenomatoide de la línea de células no germinales, una neoplasia testicular muy rara, tan solo unos 100 casos han sido reportados en la literatura y la mayoría de los pacientes con este problema son mayores de 50 años. Mesotelioma síntomas, diagnóstico y tratamiento symptoma.Es. Mesotelioma leer más sobre etiologÍa y patogenia la exposición al asbesto es el principal factor de riesgo para el desarrollo del mesotelioma.[Scielo.Isciii. Paniculite mesentérica aspectos na tomografia scielo. A paniculite mesentérica é um processo inflamatório que constitui o segundo estádio de uma doença rara e progressiva que envolve o tecido adiposo do mesentério. Entre os métodos radiológicos utilizados no diagnóstico estão os estudos baritados, a ultrasonografia, a.
Tesla Auto Solo Elettrica
Mesotelioma pleural maligno scielo españa. Resumen. El mesotelioma maligno es una neoplasia pleural relacionada con la exposición laboral a amianto, aunque otros factores pudieran estar implicados, con. Estadísticas de mortalidad más ejemplos sobre selección. Salud pública y algo más continuamos con unos ejemplos de historias clínicas.. En estos ejemplos explicamos como situar en un boletín estadístico de defunción la información contenida en una historia clínica para que, después de aplicar las reglas de selección de causa básica de defunción, salga seleccionada la enfermedad que ha sido la desencadenante de todo el proceso que ha. Asbestos in colombia a silent enemy scielo. IntroducciÓn. La exposición de los sistemas vivos a algunos agentes ambientales puede alterar la homeostasis corporal, lo que se refleja en diversas enfermedades, según el origen, la complejidad y el efecto en el organismo de dichos agentes; las manifestaciones clínicas pueden ser. Mesotelioma pleural maligno experiência scielo. El mesotelioma maligno es una neoplasia pleural relacionada con la exposición laboral a amianto, aunque otros factores pudieran estar implicados, con una incidencia en aumento en europa occidental. El dolor torácico y la disnea son sus manifestaciones clínicas más frecuentes. Asbestos in colombia a silent enemy scielo. IntroducciÓn. La exposición de los sistemas vivos a algunos agentes ambientales puede alterar la homeostasis corporal, lo que se refleja en diversas enfermedades, según el origen, la complejidad y el efecto en el organismo de dichos agentes; las manifestaciones clínicas pueden ser desde mínimas hasta graves. Mesotelioma pleural maligno neumosur. We have therefore applied two putative mesothelioma markers, thrombomodulin and cytokeratin 5.6 (ck 5/6), to 63 cases of pleural malignant mesothelioma (mmp) and 44 cases of metastatic adenocarcinoma with known primary sites (lung = 15, breast = 21, ovary = 3, colon = 2, epididymis, kidney, pancreas = 1 case each).
